Che cos'è
Quando in un piede apparentemente normale si scatenano delle crisi dolorose, con bruciore locale plantare alla base delle dita e formicolio alle dita esterne, è molto probabile che si tratti di un neuroma di Morton.
Il neuroma di Morton è un fastidioso rigonfiamento del secondo o terzo nervo interdigitale, che scorre fra le teste metatarsali.
Il neuroma si forma per un appoggio plantare scorretto in associazione all’uso costante e prolungato di calzature non fisiologiche come le décolleté femminili a tacco alto.
Il neuroma di Morton viene infatti anche chiamato la “malattia dei tacchi a spillo” e quindi è assai più frequente nelle donne che negli uomini.
Non è rara la bilateralità del neuroma, rara invece la bi-localizzazione, cioè la presenza di neuroma in uno stesso piede a livello di secondo e terzo interspazio.
Il neuroma di Morton fu descritto originariamente da Thomas G.Morton chiropodista della corte inglese nel 1876, ma in realtà fu riconosciuto nella sua unicità anatomo-patologica specifica da Filippo Civinini, medico pistoiese, nel 1835, ben prima di TG Morton.
Ecco perché oggi in Italia e nel mondo il neuroma viene chiamato di Civinini-Morton.
Eponimi del termine neuroma di Morton sono i termini di neuroma intermetatarsale, neuroma interdigitale, neuroma plantare, neurite interdigitale, metatarsalgia di Morton.
COS’È IL NEUROMA DI MORTON
Il termine neuroma sta ad indicare, dal punto di vista istologico, una fibrosi perineurale con edema endoneurale, degenerazione assonale e proliferazione vascolare locale, in assenza di fatti proliferativi del tessuto nervoso vero e proprio, che anzi risultata impoverito e disperso.
In termini semplici dunque il termine neuroma sta ad indicare un nervo che si ingrossa e diventa globoso, per reazione similcicatriziale perinervosa ed intranervosa, a differenza del termine neurinoma (impropriamente usato nel caso del neuroma di Morton) che indica un quadro di proliferazione del tessuto nervoso vero e proprio.
COME SI DIAGNOSTICA
La maggioranza dei pazienti con sintomi tipici da neuroma di Morton è costituita da donne di età media.
La storia del paziente è molto importante e va ascoltata bene. Si apprende così che il soggetto, in specifiche condizioni come l’uso di scarpe eleganti col tacco, oppure durante la guida, talora anche utilizzando scarponi da sci, avverte improvvisamente un dolore urente sotto la pianta del piede, alla base delle dita esterne, come fosse un bruciore o, addirittura un ferro rovente che si infigge fra le dita. La sede del dolore è variabile, a volte prende anche il polpastrello del quarto dito e si associa spesso a formicolio.

Allora ci si toglie il piede dalla scarpa o dallo scarpone, lo si massaggia, e piano piano tutto torna normale.
Queste crisi possono essere episodiche ma, in certi pazienti, si scatenano più volte al giorno.
Il paziente impara presto a combattere il dolore togliendosi la scarpa e massaggiandosi il piede. Ecco spiegato il cosiddetto “segno della vetrina”, quando camminando per strada compare il dolore e allora si finge di osservare una vetrina per sfilarsi la calzatura.
In genere il dolore è assente nel riposo e può comparire ad intervalli anche molto distanziati.
I sintomi neurologici sono più vaghi, vengono riferiti come crampi spontanei e fastidiosa sensazione di ipoestesia o di iperalgesia.
Non di rado il paziente descrive la sensazione di “un qualcosa di estraneo” sotto il piede, che talora scompare da solo con uno “scatto”.
L’esame obiettivo è volto innanzitutto alla esclusione di eventuali altre cause o deformità. Per ciò che riguarda l’ispezione, si può affermare che in genere il vero neuroma di Morton è presente in piedi apparentemente “normali”. È pur vero, però, che capita spesso di rinvenirlo anche in associazione con molte altre classiche patologie dell’avampiede, come alluce valgo e dito a martello.
Molto indicativa invece la diastasi del fornice digitale delle dita affette, spia di una tensione dello spazio intermetatarsale. Le dita si divaricano e si flettono leggermente.
La ricerca del dolore pressorio, con la manovra della “tenaglia” dev’essere diretta elettivamente allo spazio intermetatarsale, con decisione ma anche con accuratezza.
Tipico inoltre il cosiddetto click di Mulder, che consiste nel riuscire a ridurre nello spazio intermetatarsale la piccola masserella e a mobilizzarla con la compressione dei metatarsali, creando così un piccolo scatto.
La ricerca degli eventuali segni neurologici deve essere condotta con accuratezza.
In genere:
- vi è un’ipoestesia del terzo e quarto dito a livello delle due superfici verso il fornice;
- vi è una diminuzione della sensibilità vibratoria ricercata col diapason;
- vi è una iperalgesia del polpastrello del terzo o del quarto;
- i sintomi sono più specifici per il neuroma del terzo spazio, piuttosto che del secondo.
CHE ESAMI SI FANNO PER CONFERMARE IL NEUROMA?
Va eseguito innanzitutto un accurato studio radiografico dei due piedi sotto carico, che serve per valutare la componente scheletrica ed escludere altre cause di dolore metatarsale, come le fratture da stress, le deformità delle teste metatarsali tipo morbo di Freiberg, le compromissioni artrosiche.
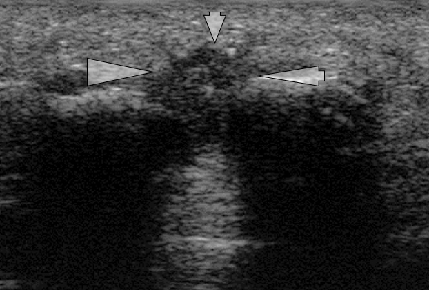
L’indagine ecografica, con precise specifiche tecniche nei dettagli esecutivi, si è dimostrata nel corso degli anni la metodica più affidabile per la diagnosi di neuroma di Morton.
Tecnicamente parlando si richiede ecografia dinamica avampiedi secondo Shapiro, Perini e Torriani con manovra ecografica di Mulder, dal nome degli autori che hanno via via messo a punto una diagnostica ecografica affidabile per questa patologia.
All’esame, che va condotto con scansioni ecotomografiche plantari e dorsali con sonda ad alta frequenza da 7.5 MHz, la masserella appare omogeneamente ipo-ecogenica, ben riconoscibile dal grasso iperecogenico adiacente e l’ombra delle corticali metatarsali.
Nella manovra ecografica di Mulder si lussa manualmente dal lato plantare la masserella neuromatosa, che poi scatta di nuovo verso la pianta del piede nella manovra di avvicinamento delle dita.
Secondo Perini, con questa tecnica è più facile identificare la masserella, che si riconosce più agevolmente nel suo spostamento e si può più facilmente misurare nelle sue dimensioni; l’esame diventa così significativo per masserelle dai 3,8 mm in su.

Secondo Shapiro e poi Quinn, ci si può attendere un’affidabilità diagnostica intorno al 95% per masserelle superiori ai 5 mm, essendo di 2 mm il limite massimo del nervo normale
Riteniamo dunque di 3,8 mm il valore di cut off per diagnosi certa di neuroma di Morton.
La risonanza magnetica nucleare (MRI) offre ulteriori vantaggi nella diagnosi del neuroma, anche se è da considerare indagine di secondo livello.
Il criterio diagnostico per questa metodica è il riconoscimento di una masserella ovoidale a margini ben definiti, a forma di bisaccia, ben distinta dal piano dei flessori, con segnale intermedio o basso, sia nelle immagini T1 pesate, che T2.
L’accuratezza diagnostica delle due metodiche è sovrapponibile con i già riferiti limiti per lesioni inferiori a 4 mm.
Sicuramente superiore la Risonanza nella diagnosi differenziale, per la sua sensibilità verso le patologie in diagnosi differenziale, come le fratture da stress, le capsulosinoviti meccaniche delle metatarso-falangee, le lesioni della placca plantare, le forme sinoviali articolari, altre patologie delle parti molli come lipomi, angiomi, gangli tendinei.
COME SI CURA IL NEUROMA DI MORTON?
Diciamo innanzitutto che molte volte non è necessario curare il neuroma, in quanto è sufficiente sapere di averlo e rendersi conto che alcune attività e alcuni tipi di scarpe causano la crisi acuta e dunque evitare tali condizioni di provocazione del dolore.
Anche ortesi ben fatte e morbide come i plantari su misura, usati in scarpe comode a suola robusta, possono dare un utile aiuto, riducendo gli episodi di crisi.
Nella nostra esperienza tuttavia tali espedienti, in caso di neuroma doloroso, confermato dall’imaging e di grandezza superiore a 4 mm, non sembrano dare risultati convincenti, dimostrandosi più un mezzo per convivere accettabilmente col dolore, che un trattamento vero e proprio.
Una prima opzione è rappresentata dalle infiltrazioni cortisoniche locali.
Questo tipo di trattamento sembra dare risultati discreti, ma assolutamente temporanei. L’utilizzo di guida ecografica, per un miglior centraggio dell’infiltrazione con utilizzo di Celestone Chronodose da 5.7 mg/ml in singola infiltrazione, sembra non modificare il risultato finale, che permane mediamente buono, ma anche con questa tecnica assolutamente temporaneo.
Si aggiunga che sono segnalati anche effetti collaterali negativi del trattamento infiltrativo cortisonico, con possibili rischi di atrofia del cuscinetto plantare e discromie/atrofie cutanee, con notevole danno estetico e funzionale.
In alternativa alle infiltrazioni cortisoniche, la fenolizzazione diretta del nervo per via infiltrativa ha dato, in mano di alcuni autori, risultati promettenti (Magnan e Coll).
Tuttavia, l’azione istiolesiva e potenzialmente necrotizzante del fenolo, pur efficace nell’eliminare il dolore nevralgico per la nota azione neurolitica diretta, è gravata da un alto tasso di disturbi collaterali, con riscontro di danni anche severi alle parti molli intermetatarsali, quando poi si debba passare alla chirurgia aperta.
La sclero-alcolizzazione ecoguidata del neuroma di Morton eseguita con sequenza di trattamenti distanziati fra loro in numero di almeno 3 è oggi il gold standard per il trattamento del neuroma di Morton.
Indicazione al trattamento è la presenza di un neuroma di Morton ben identificabile di grandezza fra i 4 e 12 mm.
Criteri di esclusione sono patologie associate dell’avampiede con sintomatologia non univoca per neuroma, casi di recidiva post-chirurgica, terapia anticoagulante in atto.
In pratica la scleroalcolizzazione consiste nella devitalizzazione selettiva del neuroma con alcool assoluto sotto guida ecografica in anestesia locale.
Si tratta di un trattamento ambulatoriale praticamente simile al trattamento infiltrativo, solo molto più specifico.
Tecnicamente si tratta di localizzare accuratamente il nervo sotto guida ecografia, raggiungerlo con un sottile ago in anestesia locale ed eseguire una iniezione ecoguidata, composta da un cocktail di alcool assoluto al 50% ed anestetico locale.
L’etanolo iniettato intorno e dentro il nervo produce una neurolisi chimica, attraverso disidratazione, necrosi e precipitazione del protoplasma.
Dopo il trattamento, che è ambulatoriale, il paziente torna a casa e svolge vita normale, evitando attività ad alto impegno motorio o stazione eretta prolungata.
Unico effetto collaterale negativo, veramente raro, è quello di un dolore persistente accompagnato ad edema locale, della durata da 2 giorni a 3 settimane, nel 2/3% dei pazienti.
I risultati della scleroalcolizzazione ecoguidata sono ormai noti, pubblicati sia in studi ormai storici (Hughes, Fanucci), sia più recentemente dal nostro gruppo (Volpe, Perini, Varotto), che da altri Autori (Pasquali, Vulcano) che hanno utilizzato la stessa impostazione metodologica.
Il nervo si sclerotizza progressivamente e perde la sua ipoegenicità, venendo questa sostituita da fitti spot iperecogeni, che testimoniano l’involuzione sclerotica del tessuto.

Possiamo parlare di risultati sul dolore neuropatico vicini all’88%, che restano definitivi nel tempo.

Questi risultati fanno riflettere, per la bassa morbilità del trattamento in confronto alla chirurgia, cui comunque i pazienti possono accedere in caso di insuccesso.
Il trattamento chirurgico del neuroma di Morton rappresenta una ulteriore scelta terapeutica.
L’indicazione chirurgica si pone in caso di fallimento della scleroalcolizzazione, in caso di neuromi molto grandi (oltre 12 mm), in caso di interventi associati (es. correzione alluce valgo + neuroma) e, ovviamente, in caso di recidiva post-chirurgica.
Da discutere, come indicazione, la presenza di doppio neuroma, cioè neuroma sia nel secondo, che terzo interspazio.
L’asportazione del neuroma è detta neurectomia, in quanto si asporta il tratto finale del nervo digitale comune, compreso il neuroma con le sue sottili espansioni plantari.
L’intervento si può eseguire con diversi approcci chirurgici (plantare trasversale/plantare longitudinale/ dorsale intermetatarsale).
Noi utilizziamo l’approccio longitudinale intermetatarsale, che dà maggiori garanzie di successo rispetto alla via plantare (rischio di complicanze di cicatrizzazione e di atrofia secondaria del cuscinetto plantare).
Nell’intervento si incide la cute dorsalmente per 3-5 cm nello spazio affetto, si scollano le parti molli e si allarga l’interspazio. Il nervo deve essere asportato completamente fino alla sua zona sana, evitando di lasciare aderenze col piano cutaneo.
È possibile inoltre eseguire la neurectomia/rilocazione (tecnica di Volpe), indovando il moncone nervoso nel muscolo adiacente, per evitare che eventuali neuromi da amputazione aggettino verso la cute e diventino causa di dolore.
Alla fine della neurectomia vera e propria si sutura il legamento trasverso intermetatarsale (TIML) in maniera serrata per evitare cedimento o slargamento tardivo dei metatarsali nel carico sull’avampiede.

Nel postoperatorio si protegge il piede operato per tre/quattro settimane con scarpetta a tacco posteriore.
Molto importante ricordare qui che, operando i pazienti non-responders dopo alcolizzazione, i tessuti circostanti il neuroma non vengono trovati danneggiati dall’alcool. Anzi in questi pazienti l’intervento è facilitato dal fatto che il neuroma è comunque duro-elastico e isolabile con facilità.
La guarigione poi procede in maniera normale come nei pazienti non trattati e anzi l’esperienza sembra dimostrare che in questi pazienti la guarigione è più rapida e senza disturbi collaterali correlati alla neurectomia.
I risultati della chirurgia, nella nostra esperienza, sembrano attestarsi a percentuali di completo successo intorno all’85% dei casi, con un ulteriore 12% di risultati buoni, anche se con locale discomfort.
Solo una piccola percentuale dei nostri pazienti, intorno al 3%, è insoddisfatta del trattamento per recidive o complicanze.
Le complicanze di questa chirurgia sono rappresentate da deficit sensitivo a livello delle dita o del fornice digitale e da comparsa di algodistrofia. Quest’ultima complicanza è specificamente correlata ad una neuropatia da de-afferentazione e va subito riconosciuta e tratta con farmaci come il Gabapentin per adeguato periodo.
Inoltre, come in tutta la chirurgia aperta, va considerata la morbidità correlata alla ferita e alla dissezione profonda che si deve eseguire, con possibilità di infezione superficiale o profonda e di deiescenza della ferita.
Nei rari casi di neuroma da amputazione doloroso è necessario ricorrere ad ulteriore intervento, in questo caso per via plantare.













